Thursday, February 2, 2023

Iron Deficiency Anemia.

                                                             Iron Deficiency Anemia.

                                                       PKGhatak, MD


 Anemia is defined by the WHO as having less than 12 gm /dL of hemoglobin in women and less than 13gm /dL in men. By this criterion, 33 % of the world's population has anemia and half of the cases are due to iron deficiency. Children below 5 years old and women of childbearing age are particularly susceptible to iron deficiency anemia in sub-Saharan Africa and South Asia. Iron deficiency anemia is the number one nutritional disorder in the world.

Iron deficiency anemia develops when the iron store is depleted and the daily loss of iron exceeds the daily iron intake. The consequences of iron deficiency anemia are many, chief among them are dysfunctions of several systems of the body, and notably among them are limitation of physical work, reduced energy production, depressed immune function, recurrent infection, poor digestive function, and various neurocognitive functions. The diagram below is an outline of iron utilization. 

 




Iron containing proteins in humans.

Four general categories of proteins contain iron: (1) heme proteins (e.g., hemoglobin. (2) mononuclear iron proteins (e.g., superoxide dismutase), (3) diiron-carboxylate proteins (e.g., ribonucleotide reductase, ferritin), (4) iron-sulfur proteins (e.g., aconitase), Hemoglobin is the most abundant iron-containing protein in humans.  More than one-half of total-body iron is contained within hemoglobin.

Basic physiology of Iron in humans.

Iron is a very reactive metal and combines readily with oxygen, when it reacts with H2O2 (hydrogen peroxide) it generates oxygen radicals. Oxygen radical sickens living cells and in the end, kills cells. To protect tissue from its harmful effects,  a protein, ferritin, combines with iron. Moving in and out of cells requires conversion of ferric to ferrous state and must pass special areas of the cell membrane called gates. Once inside the cells, iron is converted back to ferric state and in the blood and inside the cells iron remains combined with ferritin.

The generation of RBC is called erythropoiesis. Demand for erythropoiesis comes from: (a)Tissue oxygenation, (b)Erythrocyte turnover, (c) Blood loss from hemorrhage.

(a)Tissue oxygenation remains more or less stable in health.

(b) Approximately 20 mL of old erythrocytes die daily, and 20 mg of iron is recovered from the dead RBC.  The immediate source of iron for erythroblasts is mono or diferric transferrin, found in high concentrations in plasma. The sources of diferric transferrin are the gut (diet), macrophages (recycled iron), and the liver (stored ferritin iron). the diet. 

2.5mL of whole blood contains 1.0 mg of iron. 1.0 mg of iron is absorbed from the diet daily and 20 mg of iron from recycled erythrocytes is available to support erythropoiesis. Once iron stores are depleted, dietary and recycled erythrocyte iron is not usually sufficient to compensate for acute blood loss. In a normal person, less than 2 mL of blood is lost daily in the stool.  But this tiny amount of blood in stool does not give a positive occult blood test. A minimum of 60 mL/d is needed for a positive occult blood test to detect the presence of blood in the stool. Women in childbearing age lose additional blood due to menstruation. Repeated nosebleeds and regular blood donation lower body stores of iron.

Iron in pregnancy:

It is estimated that about 1.2 gm of iron is required from conception through delivery. The breakdown is as follows: (i)Mother's erythrocyte mass should increase from 350 to 450 mL. And that needs 450mg of iron (ii) Cessation of menstruation saves 600 mg of iron (iii) A full tern newborn has 280 mg (iv) Placental loss 90 mg.

At birth, the fetal red cell mass is 50 mL/kg. (Compared with 25–30 mL/kg in adults). Even in anemic mothers, the fetal ferritin levels remain 10 times higher than the maternal ferritin, indicating nature's preferential treatment of a growing child over the mother.

Common causes of iron deficiency in poor countries.

1. Poor diet. Red meat, organ meat and egg are good sources of iron. Poor people can hardly provide meat or eggs on a regular basis. Bush meat in Africa, at one time adequately supplied the local population, but increased demand by the growing urban population has dried up this source. Vitamin C improves iron absorption, but tea and coffee interfere with absorption. Inorganic iron absorption requires multiple mechanisms,  but infections and inflammation depress iron absorption by hepcidin inhibitory action. 

2. Malaria. Malaria is a special circumstance. Intravascular hemolysis from the effects of parasites and Blackwater fever produces severe anemia. In addition, malnutrition depresses iron absorption.

 3. Hookworm. It is an intestinal parasite, that is a significant source of GI blood loss in millions of people in South Asia and Africa. Defecation in the open, and walking in bare feet in flooded fields make it possible for hookworms to enter the body. Each worm takes 0.3 to 0.5 mL of blood from the upper small intestine and produces anemia. [ see footnote ]

4. Gastrointestinal factors. Suppressed gastric acid secretion from taking a proton pump inhibitor or gastric mucosal atrophy from gastritis, prevents the release of iron from organic iron in food. Tropical sprue and other duodenal pathologies hinder iron absorption from the gut. Liver diseases may decrease ferritin production and in chronic infection, excess hepcidin decreases GI iron absorption. And finally, Helicobacter infection of the stomach produces gastritis and causes decreased iron absorption.

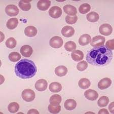
A look at the peripheral blood in iron deficiency anemia.


Blood of iron deficient anemia.



                                       Blood of a normal person.

The characteristic features of iron deficiency anemia are

The RBCs are microcytosis (small sized cells) and hypochromic (pale). In addition, a combination of increased red cell distribution width (RDW), decreased red blood cell (RBC) count, decreased MCH (mean corpuscular hemoglobin), and decreased mean cell volume are manifested. Red cells are pale in the center, smaller in size and the shape is variable and easily identifiable on blood smears. Because of non-steady state hemopoiesis, the RDW shows wider variation and is usually over 15%.  This is marked in contrast with the Sickle cell trait. The red cells in the sickle cell trait are also small and pale in the center and the hemogram appears similar to iron deficiency but RDW remains in the normal range due to the fact that hemopoiesis is steady because the iron stores in the body are full and so also the of serum iron and ferritin saturation index.  In iron deficiency, the serum ferritin level is 15 μg/L or below.  In research centers, the iron concentration of the reticulocytes, erythroblasts, the bone marrow and the liver is determined, but in clinical practice, those tests are not needed for diagnosis.  Iron deficiency causes increased release of soluble transferrin (transport protein) from erythroblasts. Therefore, ratios of soluble transferrin receptor and ferritin are used to detect iron-deficient erythropoiesis. 

Treatment of iron deficiency anemia,

Replacement of the iron stores is the first priority. Oral iron preparations are of two kinds. Inorganic and inorganic iron. Inorganic iron preparations are affordable but difficult for patients to tolerate because they produce constipation, nausea and anorexia. Organic iron preparations are easier to tolerate but expensive. In previous generations, intravenous iron therapy was problematic because of frequent hypersensitive reactions. The improved formulation has made rapid correction of anemia possible.

Advances in Iron knowledge.

 The most significant advance is the discovery of hepcidin. Hepcidin expression is highly variable and influenced by a circadian rhythm. That knowledge should improve dosing regimens.  When iron therapy does not improve iron deficiency anemia, TMPRESS6 gene mutation is suspected. In normal conditions, the TMPRESS6 gene provides instructions for the Matriptase-2 protein molecule, which is a part of the controlling mechanism of hepcidin production in the liver.

________________________________________________________________________________________

Footnote:


1. Larva entering by piercing skin of feet---> enter venous blood and carried to the right heat chambers, then to pulmonary capillaries----> larva moving out from lung alveoli to airways and crawls up the trachea----> coughed up and swallowed----> enters the stomach and settles in upper small intestine---- sucks blood, matures, mates, releases eggs----> egg containing feces deposited in open fields and the cycles continue.

********************************************************************




Sunday, January 29, 2023

Cardiomyopathy

                                                Cardiomyopathy.

                                         PKGhatak, MD

Cardiomyopathy is a weakened condition of the Heart Muscles and the heart chambers increase in size and subsequently the heart fails. It is suspected that 1 in 5,00 adult people may have cardiomyopathy without being aware of it. People seek medical attention only when cardiomyopathy becomes symptomatic. The initial symptoms are shortness of breath and a marked decrease in energy level to carry on the usual work.

There are wide varieties of conditions that lead to cardiomyopathy and based on pathophysiology the disease is classified as Dilated, Hypertrophic, Restricted, and Arrhythmogenic Cardiomyopathy.

Cardiomyopathy also happens due to inherited defects of genes, producing structural changes in the heart muscle or metabolic defects, which cause accumulation of iron and other material in the heart muscles.

 I. Dilated Cardiomyopathy:

The heart is enlarged and the muscles are stretched and become thin. Thinned out heart muscles fall behind in pumping blood out of ventricles into the circulation. Accumulated blood causes congestion of the lungs, and produces shortness of breath and in other organs. Dilated cardiomyopathy is diagnosed by clinical examination and confirmed by a chest x-ray and echocardiogram. 

 X-ray criterion is the transverse diameter of the heart exceeds 50% of the chest diameter in PA view.

A few common causes of dilated myopathy.

1. Virus infection.

Viral myocarditis of a mild nature happens frequently. In most cases, myocarditis resolves spontaneously without any health consequences. The common viruses causing these conditions are Parvovirus B-19, Coxsackie A & B, HIV, Covid-19, Cytomegalovirus, Epstein-Barr virus and Adenoviruses.

Damage to heart muscles in viral infection happens in two stages. In the initial phase, the inflammatory cells infiltrate the heart muscle. Immunocytes release acute phase inflammatory cytokines namely IL-1 beta, TNF alpha, and Interferon alpha and these agents should be sufficient to avert a full blown inflammation, but in some cases, they fail. In the second phase, about 7 to 14 days after the initial symptoms, T-cells accumulate. Vasoconstriction and release of Perforin molecule create multiple pores like apertures in heart muscles. Immunocytes release excess amounts of  IL-1, IL-6, CCL5, and TNF beta. Interferon decreases B-Cell activities and facilitates T-Cell activation. Cytokines continued to appear in the heart in response to the presence of viral particles in the myocardium. Because of the close resemblance of the viral antigen to muscle protein, the cytokines make mistakes one for the other. and damages the heart muscle.

A diagnosis of viral cardiomyopathy requires endocardial biopsy and identifying viral antigens. Heart failure and other organ insufficiencies are treated with medications. A cardiac transplant is a definitive treatment.

2. Chagas Disease:

Chagas disease is due to a protozoan parasite, Trypanosoma cruzi. It is an important cause of dilated cardiomyopathy in the Americas. In Central and South American countries, the Chagas disease is endemic. It is estimated that 5 million people are suffering from Chagas disease with an annual rate of infection of 200,000 and annual deaths of 10,000.

About 40,000 people were identified with Chagas disease in the USA among the South American migrant communities in 2019.

The parasite is carried by a bug, Triatoma infestans, commonly known as the kissing bug. The bug bites humans during sleep and leaves a fecal deposit at the site. The contaminated puncture wound, usually on the face or forehead, is the entry point of the parasite. Local inflammation and adenopathy may or may not produce symptoms. About 5 % of victims develop myocarditis. In the chronic phase, 40% develop dilated cardiomyopathy from the continued presence of parasites at the heart and resultant immune inflammation, tissue necrosis and scars replacing heart muscles. Cardiac conduction abnormalities are common and later heart failure predominates.

The diagram shows the life cycle of T. cruzi.

3. Alcoholic Myopathy.

People are well aware of liver disease due to alcohol; however, many will be surprised to learn about 25 % of all cardiomyopathy. Alcohol acts as an important factor in causing cardiomyopathy. About 2% of heavy alcohol users risk cardiac complications. Colored people have more risks of cardiomyopathy than light colored people. Families with Alcoholdehydrogenase deficiency are more likely to have cardiomyopathy. Alcohol is a Mitochondrial poison. As mitochondrial functions falter, acetaldehyde accumulates in the cells and oxygen radicals form as a consequence and the combined effects of these produce cell deaths. Cardiac muscles are replaced by weak scar tissue, and cardiomyopathy develops in the same way as described earlier. There are no distinctive histological characteristics of alcoholic myopathy, however enlarged and disorganized sarcoplasmic reticulum, fat and glycogen deposition and dilated intercalating discs are seen under electron microscopy in addition to various stages of diseased and disappearing mitochondria.

4. Chronic coronary arterial disease and Hypertension.

These two diseases are silent killers of heart muscles. Acute coronary events produce damage to heart muscles, even when emergency Angioplasty is successfully performed and helps to salvage most of the ventricular muscles, some loss is unavoidable. Chronic insufficiency produces almost identical damage but the pace is slow and takes place over a much longer time. Scar formation eventually leads to dilated myopathy and heart failure.

Hypertension produces ventricular muscle hypertrophy initially. If left untreated, the hypertrophic muscles eventually flatten out. A flabby enlarged heart fails. Hypertension is usually associated with coronary artery disease and induces cardiomyopathy but in the absence of coronary artery disease, hypertension alone is an independent cause of cardiomyopathy.

5. Diabetes mellitus.

Diabetes mellitus produces microvascular changes. The exact statistic is variable based on the nature of the inquiry but consistently higher than the controlled groups.

6. Thyroid disorder.

Both hypothyroidism and hyperthyroidism produce Cardiomyopathy but the mechanism is different. Hypofunction of the thyroid decreases metabolism in general and specially in the heart, delaying cardiac muscle repair and replacement. That leads to an enlarged flabby heart and often a viscous pericardial effusion. In hyperthyroid conditions, the cardiac muscles are overworked due to sinus tachycardia, increased demand for more cardiac output and associated hypertension. As the heart fails, the cardiac chambers dilate.

II. Hypertrophic Cardiomyopathy.

Hypertrophic cardiomyopathy (HCM) is an autosomal dominant inherited disease. One copy of the mutated gene is all that is needed for HCM to manifest. Of the several genes responsible for HCM. These gene mutations are common- MYH7 and MYPPC3 gene; other mutated genes are MYPBC3, TNNT2, TNN13, TPN1, MLC2, and MLC3. 1 in 700 people in the Americas are carriers of these genes and about 75,000 people have HCM at a given time. But most are unaware of the presence of mutant genes, and unfortunately, a sudden cardiac arrest may be the first sign of it. 

                                  Normal heart                    HCM heart

In the right-hand picture please note the thickened partition between the ventricular cavities. That part blocks the path of blood going out into the aorta during the ventricular ejection phase. In addition, the Mital valve is displaced and often deformed producing mitral insufficiency and reducing left ventricular ejection fraction further.
Calcium iron enters the myocardium in excess amounts and binds with actin-myosin. The cardiac impulse conduction path and coronary arterial system are altered. These are additional causes of abnormal heartbeats, the most serious one is ventricular tachycardia and it is often fatal. The initial symptoms are delayed till the teenage years, and a sudden collapse during a sporting event is usual. Diagnosis is made on clinical examination and confirmed by an echocardiogram. Treatment of HCM is multipronged.  Beta blocks and calcium channel blockers are effective as initial therapy. A recently approved drug, Mevacamten, is a new class of drug and is a reversible cardiac myosin ATPase inhibitor. It reduces the formation of actin-myosin cross-bridges. This action counteracts the inherited defect of this enzyme. The drug promotes energy savings in the myocardium and reduces outflow tract obstruction.
The definitive therapy is surgery. It involves removal of the defective parts and repairs. Technically known as Septal myomectomy, an alternative surgery is Alcohol septal ablation. In failed cases, a cardiac transplant is the only option. Genetic counseling is an essential part of therapy and all close relatives of newly diagnosed HCM patients should be examined for the presence of HCM by examination and echocardiogram.

 III. Restrictive Cardiomyopathy.

Restrictive cardiomyopathy is much less prevalent and accounts for only 5 % of all cases of diagnosed cardiomyopathies. This entity also consists of varied clinical conditions. The common pathophysiology is that abnormal proteins or abnormal cells accumulate between the muscle fibers of the ventricular wall, making the ventricular muscles less pliable and muscles fail to stretch fully. Returning blood accumulates in the atrium and causing both atria to dilate. The cardiac output falls and biventricular failure develops. In addition, the stagnant blood in heart chambers may clot and produce systemic and pulmonary embolism, which are additional features of restrictive cardiomyopathy.

Restrictive cardiomyopathy is a disease of the older generation. Shortness of breath and cardiac arrhythmia are presenting symptoms, additional symptoms are marked loss of weight, fatigue and the effects of arterial embolism like strokes, renal infarction, or limb ischemia.

1. In the Western world, the common causes of restrictive cardiomyopathies are Amyloidosis, Systemic sclerosis, Sarcoidosis and Hemochromatosis. Incidence is increasing in cases of post radiation therapy for malignancy and cancer treatment with Adriamycin.

 2, Primary Endomyocardial Fibrosis and Restrictive Cardiomyopathy.

Taking the world as a whole, Primary Endomyocardial Fibrosis (EMF) is the most prevalent in this group and affects 12 million people. Most cases are seen in equatorial Africa and less frequently in tropical and subtropical Asia and in South America. EMF is somewhat similar to Loeffler eosinophilic endocarditis fibrosis seen in Non-tropical countries. The role of the eosinophil in EMF is still debated, some believe that eosinophils infiltrate the heart muscles due to dead and dying cardiac muscles. Others believe cytokines released by eosinophils produce myocardial necrosis and fibrosis.

The primary EMF is inherited as an autosomal dominant trait with variable penetration. Mutation of genes encoding Sarcomeric proteins - Troponin I, Troponin T alpha & beta, cardiac actin-myosin heavy chain are responsible for this disease.

[  For more information see footnote  ]

IV. Arrhythmogenic Cardiomyopathy.

Arrhythmogenic cardiomyopathy is suspected to be present in 1 in 5,000 people, many of whom are asymptomatic. It is an inherited autosomal dominant condition. Mutation of at least 13 genes is identified. These genes are called Desmosomal genes and also called PKP2 genes. They provide instructions for making components of cell structures called Desmosomes. Under normal conditions, desmosomes keep the muscle fibers of the heart bound together so that all the heart muscles receive cardiac impulses from the sinus node in an orderly fashion and the ventricles can contract in unison.

In this disorder, the cells of the myocardium detach from each other and die. The damaged heart muscles are replaced by fibrous tissue and disrupts cardiac impulse transmission, leads to arrhythmia. The right ventricle is the prime site of this pathology, but since 2008, the same pathology was identified in the left ventricular wall.

PKP2 gene mutated people develop symptoms between 20 and 30 years of age. Sudden syncopal attacks are a usual presentation. Cardiomegaly and heart failure follow the same patterns as other forms of cardiomyopathy. PKP2 gene mutation was detected in 60% of cases, the other genetic abnormality is under investigation.

____________________________________

Footnote:

For further reading, please look at blogs dated -

 1. Amyloidosis …. dated August19, 2000.

2. Hemochromatosis.......Oct 18, 2020.

 3. Radiation pneumonitis...... January 10, 2021.

 4. Connective tissue & MCTD...... Dec 14, 2022.

 5. Sarcoidosis. This is a multisystem disease of unknown cause. Lung lesions resemble pulmonary tuberculosis, and extensive lymph node engagement is a distinctive feature. Many vital organs like the heart, eyes, and liver are commonly affected. Diagnosis requires tissue biopsy demonstration of non-caseating granuloma like TB but no acid-fast organisms are present. Other important lab findings are elevated serum YKL-40, ACE and IL-2R.

 6. Adriamycin. Adriamycin is a potent cardiotoxic drug. It permanently damages heart muscles and produces fibrosis.

*********************************************

Archive

  Archive. P.K.Ghatak, MD 2025  March. Laser Endoscpoe 2025 February. Use of Ultrasound in Medicine MRI 2025 January. Bacteriology and Rober...